42CrMo合金结构钢螺栓断裂失效分析
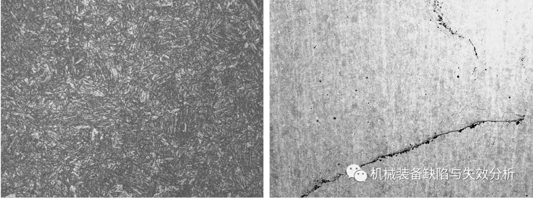
情况介绍 某地铁车辆用高强度六角头螺栓(以下简称:螺栓)在装车服役后刚刚抵达目的地就发生断裂。螺栓材料为42CrMo,规格为Φ36X150,性能等级为10.9级。主要加工流程:下料→墩头→机加工→淬回火→滚螺纹→涂装→出厂。现将分析结果介绍如下: 理化分析 化学成分分析 在螺栓断裂位置附近取样进行化学成分分析,结果见表1 : 结果表明:螺栓的化学成分符合GB/T3077-2015 《合金结构钢》标准中42CrMo钢的技术要求。 硬度测试 对螺栓依据GB/T230.1-2009标准进行洛氏硬度试验(试验位置依据图4所示),试验结果见表2: 结果表明:螺栓的硬度符合GB/T3098.1-2010《紧固件机械性能 螺栓、螺钉和螺柱》标准中10.9性能等级螺栓的技术要求。 在参照图4所示截面,对螺栓进行微观金相分析。螺栓金相组织为回火托氏体,组织较细,无过热特征,见图11。图1箭头1位置存在线状金属夹杂物的附集,破坏了金属的连续性,并向螺栓心部延伸,见图12至图14。 图11 300X螺栓金相组织 图12 60X非金属夹杂物附集 图13 300X图12放大 图14 300X图12裂纹根部放大 分析与讨论 螺栓的化学成分为42CrMo(GB/T 3077-2015), 螺栓硬度达到GB/T 3098.1-2000标准中规定的10.9级螺栓硬度要求(HRC32-39),金相组织无异常,螺栓最终热处理工艺正常。螺栓的断裂形式属于应力过载撕裂,始断区域存在原始裂纹(线状非金属夹杂物附集), 螺栓在服役过程中,在螺帽与螺杆过渡区域原始裂纹处发生应力集中,螺栓承载条件发生变化,受载荷作用裂纹横向扩展,当螺栓承载能力小于受载载荷时,发生瞬间断裂。 结论与建议 螺栓断裂与存在原材料夹杂有关,建议进行加强原材料质量控制,以提高材料纯净度。














