铜及铜合金的金相图谱大全
铜按合金系分为四大类:紫铜(纯铜)、黄铜、青铜和白铜。 紫铜包括普通纯铜、无氧铜、磷脱氧铜、银铜等。 黄铜指以锌为主要添加元素的铜合金,分为普通黄铜和复杂黄铜。复杂黄铜包括铅黄铜、铝黄铜、锡黄铜、铁黄铜、硅黄铜、锰黄铜、镍黄铜。 青铜指除锌和镍以外的其他元素作为主要添加元素的铜合金,包括锡黄铜、铍青铜、铝青铜、硅黄铜、镁青铜、钛青铜、铬青铜、锆青铜和镉青铜等。 白铜指以镍为主要添加元素的铜合金,包括普通白铜、铁白铜、锌白铜、铝白铜等。 纯铜
Copper

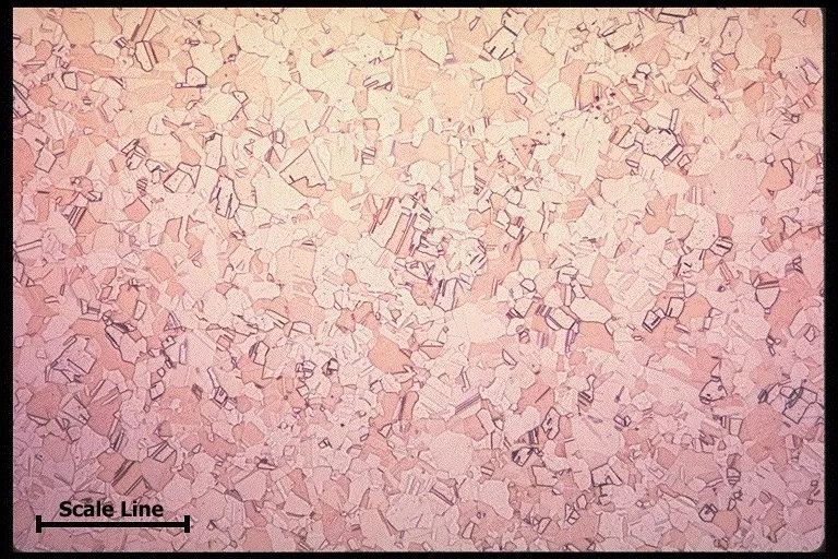
材料 | 纯铜 |
成分 | Cu 99.99% |
产品 | - |
工艺 | - |
牌号 | - |
标尺 | ~250 μm |

材料 | 纯铜 |
成分 | Cu 99.99% |
产品 | 线材 |
工艺 | 连铸,700℃退火30min,200℃退火2h |
牌号 | - |
标尺 | ~25 μm |
备注 | 纵剖面 |

材料 | 纯铜 |
成分 | Cu 99.99% |
产品 | 线材 |
工艺 | 连铸+热轧+未退火 |
牌号 | - |
标尺 | ~25 μm |
备注 | 横切面 |

材料 | 纯铜 |
成分 | Cu 99.99% |
产品 | 线材 |
工艺 | 连铸+热轧+未退火 |
牌号 | - |
标尺 | ~25 μm |
备注 | 纵剖面 |

材料 | 纯铜 |
成分 | Cu 99.99% |
产品 | 线材 |
工艺 | 连铸,700℃退火30min,200℃退火2h |
牌号 | - |
标尺 | ~25 μm |
备注 | 横切面 |

材料 | 无氧铜 |
成分 | Cu 99.99% |
产品 | 棒材 |
工艺 | - |
牌号 | C10100 |
标尺 | ~125 μm |

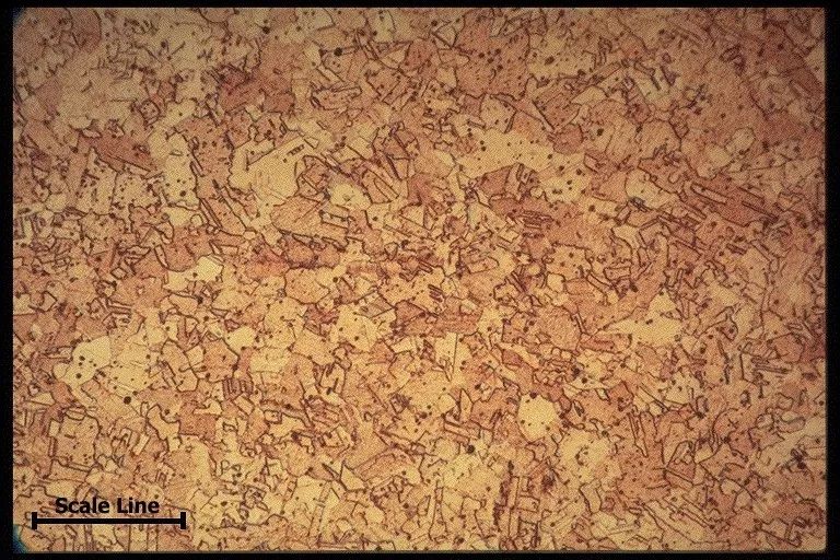
材料 | 纯铜 |
成分 | Cu 99.90% |
产品 | 铸件 |
工艺 | 铸造 |
牌号 | C11000 |
标尺 | ~50 μm |

材料 | 纯铜 |
成分 | Cu 99.90% |
产品 | 铸件 |
工艺 | 铸造 |
牌号 | C11000 |
标尺 | ~125 μm |

材料 | 纯铜 |
成分 | Cu 99.90% |
产品 | - |
工艺 | Embrittled |
牌号 | C11000 |
标尺 | ~125 μm |

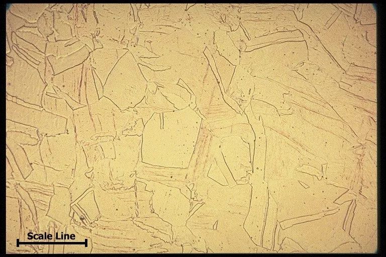
材料 | 纯铜(ETP) |
成分 | Cu 99.90% |
产品 | 线材 |
工艺 | 热轧 |
牌号 | C11000 |
标尺 | ~50 μm |

材料 | 纯铜(ETP) |
成分 | Cu 99.90% |
产品 | 线材 |
工艺 | 回火 |
牌号 | C11000 |
标尺 | ~50 μm |

材料 | 纯铜 |
成分 | Cu 99.90%,0.026% O2 |
产品 | 棒材 |
工艺 | 连铸+热轧 |
牌号 | C11000 |
标尺 | ~250 μm |
备注 | 边部横断面 |

材料 | 纯铜 |
成分 | Cu 99.90%,0.026% O2 |
产品 | 棒材 |
工艺 | 连铸+热轧 |
牌号 | C11000 |
标尺 | ~250 μm |
备注 | 边部纵切面 |
。目前Escondida铜矿正在与矿工协商制定一份新的劳动合同,其

材料 | 纯铜 |
成分 | Cu 99.90% |
产品 | - |
工艺 | 铸造 |
牌号 | C12200 |
标尺 | ~500 μm |
铜镉合金
Copper beryllium alloy

材料 | 铜镉合金 |
成分 | Cu 99.8%,Cd 0.7-1.2%,Fe 0.02% |
产品 | - |
工艺 | 铸造 |
牌号 | C16200 |
标尺 | ~125 μm |

材料 | 铜镉合金 |
成分 | Cu 99.8%,Cd 0.7-1.2%,Fe 0.02% |
产品 | - |
工艺 | 冷加工 |
牌号 | C16200 |
标尺 | ~50 μm |

材料 | 铜镉合金 |
成分 | Cu 99.8%,Cd 0.7-1.2%,Fe 0.02% |
产品 | 线材 |
工艺 | 冷加工 |
牌号 | C16200 |
标尺 | ~125 μm |

材料 | 铜镉合金 |
成分 | Cu 99.8%,Cd 0.6-1.0%,Sn 0.5-0.7%, Fe 0.02% |
产品 | 板材 |
工艺 | Temper 1/2 HT |
牌号 | C16500 |
标尺 | ~125 μm |

材料 | 铜镉合金 |
成分 | Cu 99.8%,Cd 0.6-1.0%,Sn 0.5-0.7%, Fe 0.02% |
产品 | 板材 |
工艺 | Temper 1/2 HM |
牌号 | C16500 |
标尺 | ~250 μm |

材料 | 铜镉合金 |
成分 | Cu 99.8%,Cd 0.6-1.0%,Sn 0.5-0.7%, Fe 0.02% |
产品 | 板材 |
工艺 | Temper AT |
牌号 | C16500 |
标尺 | ~250 μm |
铜铍合金
Copper beryllium alloy

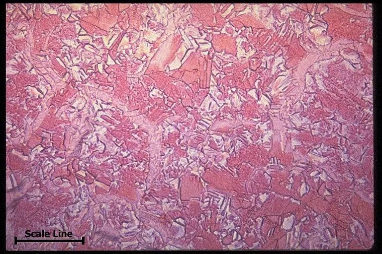
材料 | 铜铍合金 |
成分 | Cu 99.5%,Be 1.6-1.79% |
产品 | - |
工艺 | 铸造 |
牌号 | C17000 |
标尺 | ~500 μm |
智利那样在奖金问题上纠缠不清。在秘鲁,共有8%

材料 | 铜铍合金 |
成分 | Cu 99.5%,Be 1.6-1.79% |
产品 | - |
工艺 | 铸造 |
牌号 | C17000 |
标尺 | ~50 μm |
期间不会出现任何停工的事件。他还表示,谈判

材料 | 铜铍合金 |
成分 | Cu 99.5%,Be 1.6-1.79% |
产品 | - |
工艺 | 铸造 |
牌号 | C17000 |
标尺 | ~125 μm |
与六家工会中的四家展开工资谈判。公司

材料 | 铜铍合金 |
成分 | Be 1.80-2.00%,Co + Ni ≥0.20%, Co + Ni + Fe ≤0.6%,Pb ≤0.02%, Cu + Sum of Named Elements ≥99.5% |
产品 | 带材 |
工艺 | TD04 |
牌号 | C17200 |

材料 | 铜铍合金 |
成分 | Be 1.80-2.00%,Co + Ni ≥0.20%, Co + Ni + Fe ≤0.6%,Pb ≤0.02%, Cu + Sum of Named Elements ≥99.5% |
产品 | 板材 |
工艺 | M20 |
牌号 | C17200 |

材料 | 铜铍合金 |
成分 | Be 1.80-2.00%,Co + Ni ≥0.20%, Co + Ni + Fe ≤0.6%,Pb ≤0.02%, Cu + Sum of Named Elements ≥99.5% |
产品 | 带材 |
工艺 | TB00 |
牌号 | C17200 |

材料 | 铜铍合金 |
成分 | Be 1.80-2.00%,Co + Ni ≥0.20%, Co + Ni + Fe ≤0.6%,Pb ≤0.02%, Cu + Sum of Named Elements ≥99.5% |
产品 | 带材 |
工艺 | TF00 |
牌号 | C17200 |

材料 | 铜铍合金 |
成分 | Be 1.80-2.00%,Co + Ni ≥0.20%, Co + Ni + Fe ≤0.6%,Pb ≤0.02% Cu + Sum of Named Elements ≥99.5% |
产品 | 带材 |
工艺 | TM00 |
牌号 | C17200 |

材料 | 铜铍合金 |
成分 | Be 1.80-2.00%,Co + Ni ≥0.20%, Co + Ni + Fe ≤0.6%,Pb ≤0.02%, Cu + Sum of Named Elements ≥99.5% |
产品 | 带材 |
工艺 | Overaged |
牌号 | C17200 |

材料 | 铜铍合金 |
成分 | Be 1.80-2.00%,Co + Ni ≥0.20%, Co + Ni + Fe ≤0.6%,Pb ≤0.02%, Cu + Sum of Named Elements ≥99.5% |
产品 | 带材 |
工艺 | TH04 |
牌号 | C17200 |
薪水,

材料 | 铜铍合金 |
成分 | Be 1.80-2.00%,Co + Ni ≥0.20%, Co + Ni + Fe ≤0.6%,Pb ≤0.02%, Cu + Sum of Named Elements ≥99.5% |
产品 | 带材 |
工艺 | TM08 |
牌号 | C17200 |

材料 | 铜铍合金 |
成分 | Be 0.4-0.7%,Co 2.4-2.7%, Cu + Sum of Named Elements 99.5% |
产品 | 带材 |
工艺 | TF00 |
牌号 | C17500 |

材料 | 铜铍合金 |
成分 | Be 0.4-0.7%,Co 2.4-2.7%, Cu + Sum of Named Elements 99.5% |
产品 | 带材 |
工艺 | TH04 |
牌号 | C17500 |
资合同

材料 | 铜铍合金 |
成分 | Be 0.2-0.6%,Ni 1.4-2.2%, Cu + Sum of Named Elements 99.5% |
产品 | 带材 |
工艺 | TF00 |
牌号 | C17510 |

材料 | 铜铍合金 |
成分 | Be 0.2-0.6%,Ni 1.4-2.2%, Cu + Sum of Named Elements 99.5% |
产品 | 带材 |
工艺 | TH01 |
牌号 | C17510 |
消

材料 | 铜铍合金 |
成分 | Be 0.60%,Ni 1.5%, Cu + Sum of Named Elements 99.5% |
产品 | 带材 |
工艺 | 铸造 |
牌号 | C82200 |

材料 | 铜铍合金 |
成分 | Be 2.06%,Co 0.50%,Si 0.25%, Cu + Sum of Named Elements 99.5% |
产品 | 带材 |
工艺 | 连铸+固溶退火+时效处理 |
牌号 | C82500 |
矿过渡到地下
铜铬合金
Chromium copper alloy

材料 | 铜铬合金 |
成分 | Cu 99.5%,Cr 0.6-1.2%,Si 0.10%, Fe 0.10%,Pb 0.05% |
产品 | - |
工艺 | Age hardened and drawn 20% |
牌号 | C18200 |
标尺 | ~500 μm |

材料 | 铜铬合金 |
成分 | Cu 99.5%,Cr 0.6-1.2%,Si 0.10%, Fe 0.10%,Pb 0.05% |
产品 | - |
工艺 | Age hardened and drawn 20% |
牌号 | C18200 |
标尺 | ~250 μm |
占全年产

材料 | 铜铬合金 |
成分 | Cu 99.8%,Cr 0.4-1.0%,Pb 0.015% P 0.04% |
产品 | - |
工艺 | Age hardened and drawn 20% |
牌号 | C18500 |
标尺 | ~50 μm |
续还会有几个大型铜

材料 | 铜铬合金 |
成分 | Cu 99.8%,Cr 0.4-1.0%,Pb 0.015% P 0.04% |
产品 | - |
工艺 | Age hardened and drawn 20% |
牌号 | C18500 |
标尺 | ~50 μm |

材料 | 铜铬合金 |
成分 | Cu 99.8%,Cr 0.4-1.0%,Pb 0.015%, P 0.04% |
产品 | - |
工艺 | Age hardened and drawn 20% |
牌号 | C18500 |
标尺 | ~25 μm |
目前为

材料 | 铜铬合金 |
成分 | Cu 99.8%,Cr 0.4-1.0%,Pb 0.015%, P 0.04% |
产品 | - |
工艺 | 铸造 |
牌号 | C18500 |
标尺 | ~125 μm |
目前

材料 | 铜铬合金 |
成分 | Cu 99.8%,Cr 0.4-1.0%,Pb 0.015% P 0.04% |
产品 | - |
工艺 | 铸造 |
牌号 | C18500 |
标尺 | ~50 μm |

材料 | 铜铬合金 |
成分 | Cu 99.8%,Cr 0.4-1.0%,Pb 0.015% P 0.04% |
产品 | - |
工艺 | 铸造 |
牌号 | C18500 |
标尺 | ~25 μm |
工资协议
黄铜
copper zinc alloys/Brasses

材料 | 铜锌合金 |
成分 | Cu 97.0-98.0%,Zn 1.9-3.0%, Fe 0.05%,Pb 0.02% |
产品 | - |
工艺 | 铸造 |
牌号 | C21000 |
标尺 | ~500 μm |

材料 | 铜锌合金 |
成分 | Cu 97.0-98.0%,Zn 1.9-3.0%, Fe 0.05%,Pb 0.02% |
产品 | 锻件(Wrought) |
工艺 | - |
牌号 | C21000 |
标尺 | ~125 μm |
过程将

材料 | 铜锌合金 |
成分 | Cu 97.0-98.0%,Zn 1.9-3.0%, Fe 0.05%,Pb 0.02% |
产品 | 锻件(Wrought) |
工艺 | - |
牌号 | C21000 |
标尺 | ~25 μm |
1350万

材料 | 铜锌合金 |
成分 | Cu 89.0-90.0%,Zn 8.9-11.0%, Fe 0.05%,Pb 0.05% |
产品 | |
工艺 | 铸造 |
牌号 | C22000 |
标尺 | ~50 μm |

材料 | 铜锌合金 |
成分 | Cu 89.0-90.0%,Zn 8.9-11.0%, Fe 0.05%,Pb 0.05% |
产品 | - |
工艺 | 铸造 |
牌号 | C22000 |
标尺 | ~500 μm |
劳

材料 | 铜锌合金 |
成分 | Cu 89.0-90.0%,Zn 8.9-11.0%, Fe 0.05%,Pb 0.05% |
产品 | 锻件 |
工艺 | - |
牌号 | C22000 |
标尺 | ~125 μm |

材料 | Red Brass, 85% |
成分 | Cu 84.0-86.0%,Zn 13.9-16.0%, Fe 0.05%,Pb 0.05% |
产品 | 锻件 |
工艺 | - |
牌号 | C23000 |
标尺 | ~25 μm |

材料 | Red Brass, 85% |
成分 | Cu 84.0-86.0%,Zn 13.9-16.0%, Fe 0.05%,Pb 0.05% |
产品 | 锻件 |
工艺 | - |
牌号 | C23000 |
标尺 | ~250 μm |
签的合

材料 | Cartridge Brass, 70% |
成分 | Cu 68.5-71.5%,Zn 28.38-31.38%, Pb 0.07%,Fe 0.05% |
产品 | 锻件 |
工艺 | - |
牌号 | C26000 |
标尺 | ~125 μm |
矿年

材料 | Cartridge Brass, 70% |
成分 | Cu 68.5-71.5%,Zn 28.38-31.38%, Pb 0.07%,Fe 0.05% |
产品 | 锻件 |
工艺 | - |
牌号 | C26000 |
标尺 | ~25 μm |
的合

材料 | 锰青铜 |
成分 | Cu 60-66%,Zn 22-28%, Al 5.0-7.5%,Mn 2.5-5.0%, Fe 2.0-4.0%,Ni 1.0%, Pb 0.20%,Sn 0.20% |
产品 | 铸件 |
工艺 | 铸造 |
牌号 | C86300 |
标尺 | ~25 μm |

材料 | 锰青铜 |
成分 | Cu 60-66%,Zn 22-28%, Al 5.0-7.5%,Mn 2.5-5.0%, Fe 2.0-4.0%,Ni 1.0% Pb 0.20%,Sn 0.20% |
产品 | 铸锭 |
工艺 | 铸造 |
牌号 | C86300 |
标尺 | ~125 μm |
来源:铜信宝


