
精美Al-Si合金金相图片



99.999%Al, 已变形的晶粒结构


Al-1%Si 铸造合金样品,在初生α铝基体中可见硅粒子。


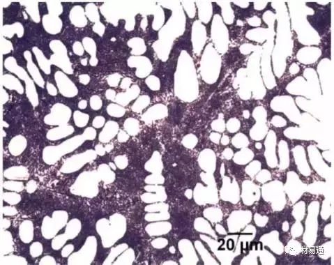
Al-7%Si, 铸态组织,初生α枝晶和α-Al/Si共晶


Al-11%Si, 铸态组织,初生α枝晶和α-Al/Si共晶


Al-12%Si, 铸态组织,近共晶


Al-12%Si, 铸态组织,近共晶


Na改性Al-12%Si, 铸态组织,近共晶


Na改性Al-12%Si, 铸态组织,近共晶


Al-12.9%Si, 重力铸造


Al-12%Si-0.04%Sr, 重力铸造


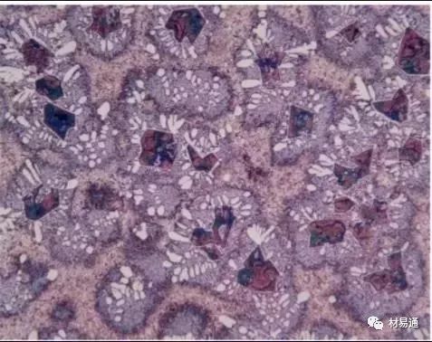
Al-19.85%Si,铸造,过共晶,初生Si加共晶


Al-25%Si,铸造,过共晶,初生Si加α-Al/Si共晶


Al-50%Si,铸造,过共晶,初生Si开裂加共晶


99.9999%Si,铸造,75%NaOH溶液

Al-Si相图


来源:金属材料科学与技术


