低碳铁素体-珠光体钢通过微合金化处理后依靠晶粒细化和析出强化能够获得的屈服强度极限一般不会超过600MPa。要想得到屈服强度600MPa以上的超高强度钢,贝氏体或马氏体的组织强化是必要的。
由于贝氏体是钢中最复杂的组织,至今人们对贝氏体相变的机理还没有形成完全一致的认识。贝氏体转变过程中对碳是通过α/γ相界面扩散还是在过饱和铁素体中体扩散仍然存在争论。另外,贝氏体相变温度低,析出相更细小,实验观察也更加困难。这些因素一直制约了微合金化元素析出相在贝氏体钢领域中的研究工作。最新的技术发展为人们开展这一方面的研究创造了条件。
贝氏体钢应用领域很广泛,从高碳钢一直到超低碳钢都有应用。在超低碳贝氏体钢领域,由于其良好的强韧性匹配,近年来获得了越来越广泛的应用。为了进一步提高贝氏体钢的强度,在细化贝氏体组织的同时,充分发挥析出强化的作用是非常重要的。在欧洲煤钢联盟的支持下,欧洲相关的研究机构及钢铁企业合作对钒、铌、钛微合金化在贝氏体铁素体中的析出反应开展了深入的研究工作,取得了许多有意义的成果。
与多边形铁素体相变相比,贝氏体相变温度更低,速度也更快,因此,贝氏体铁素体处于亚稳状态,有可能存在大量过饱和的碳,即贝氏体铁素体中能够参与析出反应的碳有可能要比多边形铁素体中的高很多,这大大增加了碳氮化物在贝氏体铁素体中析出的化学驱动力。热力学计算结果表明,微合金碳氮化物在350~450℃温度范围内的贝氏体铁素体中形核的驱动力比600℃时多边形铁素体中形核的驱动力高2~3倍。这些因素为微合金碳氮化物在贝氏体铁素体中的析出创造了条件。
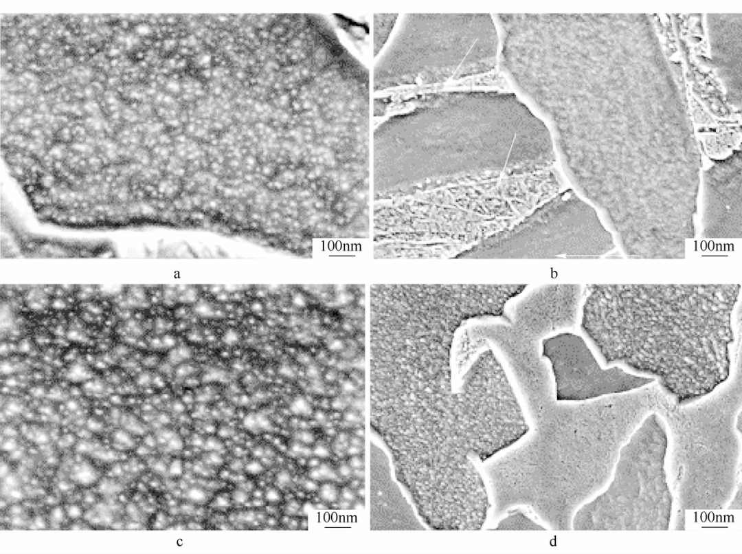
图1显示了V-N微合金化低碳贝氏体钢中碳氮化钒析出相的高分辨扫描电镜(HRSEM)照片。图中可见,细小的V(C,N)颗粒在贝氏体铁素体中析出。析出相的形貌与贝氏体形态有关,粒状贝氏体中的析出相弥散随机分布,板条状贝氏体中的析出相出现类似相间析出的成排分布。贝氏体铁素体中的V(C,N)析出颗粒都非常细小、均匀,并且析出相也十分稳定。说明V(C,N)析出相是在贝氏体铁素体板条形成过程中析出,一旦贝氏体板条完成相变,析出相的长大也随之停止。
图1 V(C,N)在0.1%C-0.20%V-0.015%N的低碳贝氏体钢等温过程中的析出相 a,b—550℃/1800s;c,d—450℃/1800s 在贝氏体铁素体中析出的碳氮化钒的形貌也是以薄片状为主,如图2所示。研究发现,析出相与贝氏体铁素体之间的晶体学取向关系符合B-N位向关系。 图2 贝氏体铁素体中V(C,N)形貌 TEM照片 含钒的低碳贝氏体钢中(0.1%C),贝氏体铁素体中碳氮化钒析出相有三种类型:(1)位错线上的析出相;(2)类似相间析出呈层状分布的析出相;(3)球状析出相。贝氏体铁素体中最常见的碳氮化钒析出相是在位错线上形核的析出相,如图3a~d所示,析出相形貌以薄片状为主,它们与贝氏体铁素体基体保持共格或半共格关系。详细的形貌观察结果表明,大量的碳氮化钒析出相是在贝氏体铁素体板条长大过程中析出的,因此出现了类似相间析出的成排析出相,见图4。TMCP工艺处理的含钒钢中,贝氏体铁素体中还观察到碳氮化钒的球状析出颗粒,如图5所示。这种析出相尺寸稍大一些,很可能是发生在形变带上的应变诱导析出所致。 图3 位错线上析出V(C,N)颗粒TEM照片 a—550℃/300s;b—550℃/1800s;c—500℃/300s;d—500℃/1800s 图4 类似相间析出的V(C,N)析出相 a,b—550℃/300s 图5 析出的球状V(C,N)颗粒TEM照片 a—550℃/300s;b—550℃/1800s






